• 1便携式DR
  • 2成像原理
  • 3成像展示
  • 4核心功能
  • 5产品规格

联系我们

名称:海南华影光子科技有限公司

电话:0898-36327767

手机:13976007730

1 便携式DR PORTABLE DR
  • DR主机4kg
  • 探测器2.9kg(无线超薄)
  • 单人背负,随取随用O0C~50C极端环境运行
  • 防撞设计,战地/灾害无忧300次曝光长续航.Wi-Fi/蓝牙双传输
  • 触屏操作,3分钟上手
  • 通过轻量化设计、低辐射技术和无线数字化成像,彻底打破了传统X射线设备对固定机房和防护设施的依赖。
  • 华影光子的SVP SmartDR正从“移动拍片工具”进化为“全场景智能影像终端”,其超轻设计、绿色安全及快速诊断能力,重塑了急诊、基层及应急救援的影像工作流。
  • 未来随着AI与多模态技术的深度整合,该设备有望成为分级诊疗和全域医疗的关键支撑节点。
  • 紧跟国家卫健委“千县工程”、“卫生医疗强基工程”等政策方向,为持续提高基本公共卫生服务工作质量,提供坚实的支撑。
2 成像原理 IMAGING PRINCIPLE
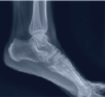
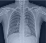
3 成像展示 IMAGING DISPLAY
  • 颈部
  • 肩部
  • 膝部
  • 手部
  • 足部
  • 胸部
4 核心功能 CORE FUNCTIONS
  • 全场景移动成像

    • 无需机房:深入床边、ICU、手术室、灾害现场、养老院、家庭病房,直面无法移动的患者。
    • 极速响应:3秒成像,10秒AI初筛,为急救争取“黄金时间”。
  • 智能诊断双引擎

    • AI 秒级辅助标记病灶:自动识别骨折、肺部病灶、气胸等病变(5-10 秒 / 图)。
    • 人机双保险:AI 作为 “第二阅片人”,精准辅助捕捉隐匿骨折等人眼易漏病变。
  • 超低剂量高清成像

    • 量子探测技术 +:智能曝光算法,护患者更护医护。
    • 影像质量媲美固定 DR:非晶硅平板探测器,空间分辨率达 3.6LP/MM,有效像素矩阵 2500x3052。
  • 辐射极低

    • 患者拍片一次辐射相当于坐一次飞机辐射

    远程曝光方式

    • 300 + 曝光长续航
5 产品规格 PRODUCT SPECIFICATIONS
  • DR主机≤4kg
  • 探测器2.9kg(无线超薄)
  • 单人背负,随取随用○0°C~50℃极端环境运行
  • 防撞设计,战地/灾害无忧300次曝光长续航·Wi-Fi/蓝牙双传输
  • 触屏操作,3分钟上手